مالاسزيا فورفور (نام قبلي آن پيتروسپوروم اواله) يكي از گونههاي مرتبط به هم مخمري است كه بطور طبيعي در سطوح پوستي انسان و بسياري از حيوانات ديگر يافت شده و بدواً بعنوان شايعترين علت دندروف (شوره) محسوب ميگردد. بيماري حاصله در انسان تينا ورسيكالر است. اختلال پوستي ديگري بنام درماتيت سبوروئيك نيز بوسيله اين قارچ بوجود ميآيد.
از آنجا كه اين قارچ براي رشد خود به چربي نياز دارد، بنابر اين در نواحي پوستي كه حاوي غدد سباسه فراوان است، شايعتر ديده ميشود. اين نواحي شامل پوست سر، صورت و بخشهاي فوقاني تنه است. هنگاميكه قارچ به رشد سريع خود ادامه ميدهد، تجديد و نو شدن سلولهاي پوستي مختل شده و شوره همراه با خارش ايجاد ميگردد. گونههاي ديگر مالاسزيا شامل مالاسزيا پاكيدرماتيس Malassezia pachydermatis كه اغلب روي بدن سگها يافت ميشود، مالاسزيا سيمپودياليس، مالاسزيا گلوبوزا، مالاسزيا ابتوزا، مالاسزيا رستريكتا، مالاسزيا اسلوفيه، مالاسزيا اكوئي، مالاسزيا اواليس و مالاسزيا درماتيس ميباشند.
اسامي مترادف: پيتريازيس ورسيكالر، كروموفيتوزيس، درماتومايكوزيس فورفوراسه، تينهآ فلاوا، آئروميا پارازيتيكا
كليدواژههاي مرتبط به اين قارچ:
Kleinenflechte, Hodi-Potsy, cutaneous fungal infection, hypopigmented macules, hyperpigmented macules, Malassezia furfur , M furfur, Pityrosporon orbiculare, Pityrosporon ovale, Malassezia ovalis, scaly macules, scaly papules, Cushing disease
تينهآ ورسيكالر
تينهآ ورسيكالر عفونت سطحي پوست و يك عفونت شايع و خوشخيم است كه در تمام مناطق دنيا ديده ميشود و گاهي اوقات بيش از 60% جمعيت مناطق گرمسيري را درگير ميكند. بيماري حاصله با لكهها و ضايعات ماكولي هايپوپيگمنت و هايپرپيگمنت در نواحي سينه و پشت مشخص ميشوند. در افراد داراي زمينههاي مستعدكننده اين وضعيت بصورت مزمن و عودكننده ديده ميشود. عفونت قارچي محدود به ناحيه شاخي پوست (stratum corneum) است.
پاتوفيزيولوژي: تينهآ ورسيكالر بوسيله ارگانيسم ديمورفيك و ليپوفيليك مالاسزيا فورفور بوجود ميآيد. اين ارگانيسم فقط در محيطهاي كشت حاوي اسيدهاي چرب با زنجيره كربني 12 تا 14 رشد ميكند. مالاسزيا فورفور يك عضو فلور نرمال پوست انسان است و در پوست 18% اطفال و 90 تا 100% بالغين يافت ميشود. ارگانيسم را در پوست افراد سالم و نيز در نواحي پوستي كه دچار ضايعه شده است ديده ميشود. در افراديكه در آنها بيماري بصورت كلينيكي ديده ميشود ارگانيسم به هر دو حالت مخمري و فرم رشتهاي (هايفي) ديده ميشود. فاكتورهائي كه منجر به تبديل فرم مخمري و ساپروفيتيك به فرم پارازيتيك يا فرم ميسليال ميشوند شامل استعداد ژنتيكي، محيطهاي گرم و مرطوب، ايميونوسوپرسيون، سوء تغذيه و بيماري كوشينگ ميباشد. هرچند كه مالاسزيا فورفور يك جزء از فلور نرمال پوست است، اما ميتواند يك پاتوژن فرصتطلب باشد. اين ارگانيسم بعنوان عاملي در برخي ديگر از بيماريهاي پوستي نيز در نظر گرفته ميشود كه شامل فوليكوليت پيتروسپورومي، درماتيت سبوروئيك، و برخي از فرمهاي درماتيت آتوپيك، آكانتوليتيك درماتوز گذرا، پسوريازيس و اونيكومايكوزيس ميباشند.

فراواني بيماري: در ايالات متحده بصورت بسيار شايعتر در نواحي داراي آب و هواي گرم و با رطوبت نسبي بالاتر ديده ميشود. شيوع آن در ايالات متحده بين 2 تا 8% جمعيت است. ارزيابي ميزان بروز دقيق آن در اين كشور مشكل است زيرا بسياري از افراد مبتلا در جستجوي توجهات پزشكي نيستند. همانطور كه گفته شد انتشار جهاني دارد و شيوع آن در برخي مناطق مثل ساموآي غربي به 50% و در نواحي سردتر مانند سوئد به حدود 1/1% ميرسد.
ميزان ابتلاء: تينهآ ورسيكالر يك بيماري مزمن و خوشعاقبت پوستي است و موجب ماكولها يا پاپوهاي پوستهدار در نواحي پوستي ميشود. همانطور كه از نام بيماري پيدا است (ورسي به معناي متعدد يا چندين ميباشد) اين اختلال منجر به تغيير رنگ پوست ميشود و اين رنگها از سفيد تا قرمز تا قهوهاي متفاوت ميباشند. اين بيماري مسري نميباشد زيرا عامل پاتوژن قارچي آن عضو ساكن و نرمال پوست است. ضايعات پوستي ممكن است هايپو و يا هايپرپيگمن باشد. در مورد هايپوپيگمانتاسيون، مهاركنندههاي تيروزيناز (اسيدهاي ديكربوكسيليك كه از طريق اكسيداسيون اسيدهاي چرب غيراشباع موجود در ليپيدهاي سطح پوست توليد ميشوند موجب مهار تيروزيناز ميشوند) بطور رقابتي باعث مهار يك آنزيم ضروري براي توليد رنگدانه توسط ملانوسيتها ميشود. در نواحي هايپرپيگمانته در اين بيماري، ارگانيسم قارچي بزرگ شدن ملانوزومهاي توليد شده توسط ملانوسيتها را در لايه بازال اپيدرم القا ميكنند.
نژاد، جنس و سن: تغييرات در پيگمانتاسيون پوست در افراديكه داراي پوست تيره هستند واضحتر ديده ميشود، اما به هرحال ميزان بروز تينهآ ورسيكالر در همه نژادها يكسان است. در مطالعات متعددي كه به بررسي شيوع اين بيماري با تأكيد بر جنسيت بيماران پرداخته شده، اختلافي از اين حيث ديده نشده است. از نظر توزيع سني، در ايالات متحده بيماري در سنين 15 تا 24 سال كه غدد سباسه فعالترند، شايعتر است. وقوع آن قبل از بلوغ و نيز بعد از 65 سالگي ناشايع است. در اكثر كشورهاي گرمسيري فراواني بيماري در سنين مختلف فرق ميكند و بعنوان مثال در كشورهاي هند و ليبريا اكثر موارد در فاصله سنين 10 تا 19 سالگي ديده ميشود.
اكثريت بيماران از پيگمانتاسيون غيرطبيعي و ظاهر آزاردهنده ضايعات شكايت دارند. نواحي درگير پوستي معمولاً شامل تنه، پشت، شكم و نواحي پروكسيمال اندامها است و نواحي با شيوع كمتر عبارت از صورت، سر و نواحي تناسلي ميباشند. سطح ضايعات را پوستههاي ظريف و غبارمانندي ميپوشاند. گاهگاهي برخي از بيماران از خارش خفيف در سطح ضايعات شكايت دارند.
بیشتر بخوانید: آزمایشگاه خوب در تهران
شكل اول: شايعترين شكل بيماري ماكولهاي بيضوي تا گرد، متعدد، با حاشيه مشخص و با پوستههاي ظريف كه در سراسر تنه و يا سينه پراكنده است و گاهي به نواحي تحتاني شكم، گردن و نواحي پروكسيمال اندامها توسعه مييابد. ماكولها تمايل دارند كه به هم پيوسته و لكههاي غيرمنظمي را تشكيل دهند. اين نواحي داراي رنگ متفاوت از نواحي مجاور خود هستند. بدين معني كه كمرنگتر و يا پررنگتر از نواحي سالم مجاور ميباشند. اين وضعيت در ماههاي گرم تابستاني داراي وضوح بيشتري ميباشند. هنگام نمونهبرداري با اسكالپل از سطح ضايعات شورههاي ظريفي جمعآوري ميگردد.
شكل دوم: شكل كاملا متفاوتي از بيماري است كه نحوه انتشار ضايعات با فرم قبلي فرق ميكند. در اين فرم ضايعات در نواحي فلكسور، صورت و نواحي ايزولهشدهاي در اندامهاي انتهائي ديده ميشود. اين فرم از بيماري معمولاً در افراد ايميونوكامپرومايزد ديده ميشود. اين فرم قابلاشتباه با كانديديازيس، درماتيت سبوروئيك، پسوريازيس، اريتراسما و عفونتهاي درماتوفيتي است.
شكل سوم: در اين فرم از عفونتهاي پوستي ناشي از مالاسزيا فورفور، فوليكولهاي مو درگير ميشوند. اين حالت نوعاً در نواحي پشت، سينه و اندامها لوكاليزه ميشوند. از لحاظ كلينيكي اين فرم از بيماري را به سختي ميتوان از فوليكوليتهاي باكتريائي تشخيص داد. تظاهرات اين فرم از بيماري (فوليكوليت پيتروسپورومي) پاپول يا پوستول پريفوليكولار و اريتماتوس است. فاكتورهاي مستعدكننده شامل ديابت، رطوبت بالا، درمان با استروئيد و آنتيبيوتيك و درمان با داروهاي سركوبگر سيستم ايمني است. علاوه بر اين گزارشهاي متعددي نشان دادهاند كه مالاسزيا فورفور در پاتوژنز درماتيت سبوروئيك نقش دارد.
اغلب موارد بيماري در افراد سالم بدون هيچگونه نارسائي در سيستم ايمني واقع ميشود، با اينحال فاكتورهاي زيادي موجب مستعد شدن افراد براي ابتلاي به اين بيماري ميشوند. دليل اينكه چرا اين ارگانيسم در برخي از افراد بيماري تينهآ ورسيكالر را ايجاد ميكند و در برخي ديگر فقط به شكل فلور نرمال باقي ميماند، بطور كامل مشخص نيست. برخي عوامل از قبيل احتياجات تغذيهاي ارگانيسم و پاسخ ايمني ميزبان نسبت به ارگانيسم قابل توجه هستند. ارگانيسم ليپوفيل است و ليپيدها براي رشد قارچ در شرایط آزمايشگاهي و شرایط درون بدن اساسي هستند. مرحله ميسليال را در شرایط آزمايشگاهي مي توان با افزودن كلسترول و استرهاي كلسترول به محيط كشت مناسب القاء نمود. برخي از بررسيها نشان ميدهند كه اسيدهاي آمينه بعوض ليپيدها براي ظاهر شدن بيماري اهميت دارند. در شرایط آزمايشگاهي اسيدآمينه آسپاراژين رشد ارگانيسم را تحريك ميكند و گلايسين بعنوان اسيد آمينه ديگري تشكيل هايفي را القا ميكند.
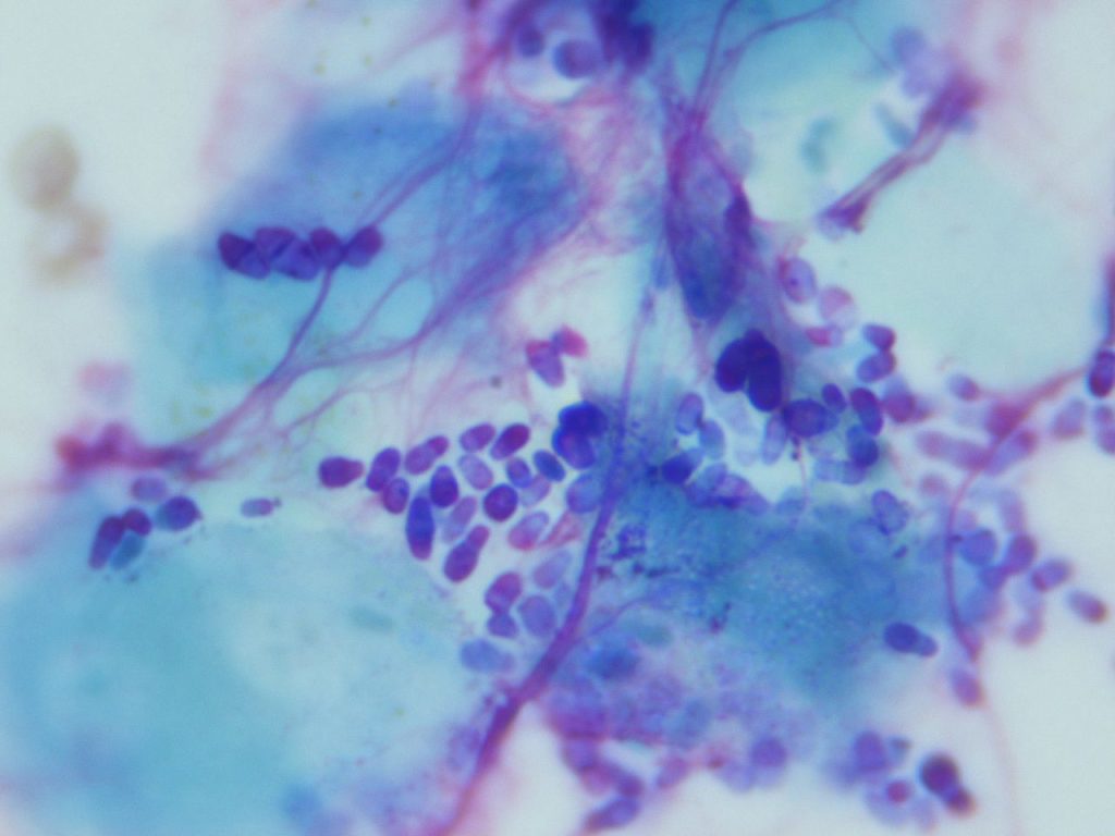
تشخيص كلينيكي تينهآ ورسيكالر آسان است و اغلب نيازي به اقدامات آزمايشگاهي ندارد، اما به هر حال معمولاً تشخيص آزمايشگاهي با كمك هيدروكسيد پتاسيم تأئيد كننده است و هايفيهاي كوتاه و سيگاري شكل در نواحي مبتلا ديده ميشود. وجود مخمرها و قطعات هايفي منظره اسپاگتي و توپهاي گوشتي را در آزمايش با هيدروكسيد پتاسيم نشان ميدهد. براي مشاهده بهتر بكمك جوهر آبي رنگ، جوهر پاركر، رنگ متيلن بلو يا رنگ Swartz-Medrik را ميتوان به محلول KOH اضافه كرد.
آنتي ژنهاي مالاسزيا موجب بروز پاسخ ايمني با توليد يك نوع ايميونوگلوبولين G اختصاصي در بيماران مبتلا به درماتيت سبوروئيك و تينهآ ورسيكالر ميشود. اين آنتيبادي با روش الايزا و وسترنبلات قابلسنجش است. مالاسزيا فورفور موجب القاي ايميونوگلبولين A، ايميونوگلوبولين G و ايميونوگلوبولين M ميشود و ميتواند كمپلمان را از هر دو مسير كلاسيك و آلترناتيو تحريك نمايد. در مطالعات متعددي نقائصي در توليد لنفوكائين، سلولهاي قاتل Tطبيعي ( natural killer T cells)، كاهش تحريك فيتوهماگلوتينين و كانكاناوالين A و كاهش توليد اينترلوكين 1، اينترلوكين 10 و اينترفرون گاما در لنفوسيتهاي بيماران را نشان دادهاند.

يافتههاي هيستولوژيك
ارگانيسم عامل تينهآ ورسيكالر محدود به ناحيه استراتوم كورنئوم (stratum corneum) است. مالاسزيا فورفور با رنگآميزي هماتوكسيلين- ائوزين قابل مشاهده است، هرچند كه با رنگآميزي پاس و متنامين سيلور بسيار بهتر ديده شده و تأیيد ميگردد. در موارد كمي ممكن است ارگانيسم در استراتوم گرانولوزوم و يا حتي درون كراتينوسيتها ديده شوند. اپيدرم هايپركراتوز و آكانتوز ملايمي نشان ميدهد و انفيلتراي پريواسكولار خفيفي در درم ديده ميشود. يك نوع تغيير اپيدرمال شبيه آكانتوزيس نيگريكانس با حالت پاپولار متنوع وجود دارد كه در لزيونهاي اريتماتوز آن، عروق خوني ديلاته شده مشاهده ميشود.
مراقبتهاي پزشكي
بيماران بايد مطلع باشند كه تينهآ ورسيكالر يك بيماري قارچي است كه عامل آن عضو فلور نرمال پوست بوده و بنابراين مسري نيست. هيچگونه تغييرات رنگي يا اسكار دائم از خود برجاي نميگذارد و هر گونه تغيير رنگ پوستي در طول 1 تا 2 ماه پس از شروع درمان از بين ميرود. عود ضايعات شايع است و درمان پروفيلاكتيك ميتواند عود مجدد بيماري را كاهش دهد.
از عوامل مختلفي براي درمان موفقيت آميز تينهآ ورسيكالراستفاده ميشود. عوامل موضعي مؤثر شامل سلنيوم سولفايد، سديم سولفاستامين، سيكلوپيروكسوامين و مواد ضدقارچ ديگري از قبيل آزولها و آليلآمينها ميباشند. لوسيون سلنيوم سولفايد را بر روي نواحي مبتلاي پوستي بصورت روزانه به مدت 2 هفته بكار ميبرند و هر بار قبل از آنكه با آب شسته شود، حداقل به مدت 10 دقيقه روي پوست ميماند و در موارد مقاوم بمدت يك شب دارو را روي پوست باقي ميگذارند. مواد ضدقارچي آزوي موضعي را هر شب بمدت 2 هفته بكار ميبرند. كاربرد هفتگي هر كدام از عوامل موضعي فوق تا چند ماه بعد از درمان اوليه ميتواند به پيشگيري از عود مجدد بيماري كمك كند.
درمان خوراكي نيز در مورد تينهآ ورسيكالر مؤثر است. البته درمان خوراكي را همزمان با استعمال موضعي داروها نيز ميتوان بكار برد. براي درمان خوراكي استفاده از كتوكونازول، فلوكونازول و ايتراكونازول ترجيح داده ميشود. رژيمهاي درماني متنوعي بكار رفته است. در مورد ايتراكونازول، مصرف روزانه 200 ميليگرم دارو در روز به مدت 10 روز و يا مصرف يك دوز تك به ميزان 400 ميليگرم نتايج يكساني داشتهاند. فلوكونازول بصورت يك دوز 150 تا 300 ميليگرمي در هفته به مدت 2 تا 4 هفته نيز اغلب پيشنهاد ميشود. ايتراكونازول نيز معمولاً بصورت 200 ميليگرم در روز به مدت 7 روز پيشنهاد ميشود.
درمان خوراكي نيز از ميزان عود بالاي بيماري پيشگيري نميكند و درمان با كتوكونازول خوراكي يا يك عامل موضعي لازم است بصورت متناوب در طول يك سال تكرار شود. از آنجا كه تينهآ ورسيكالر يك بيماري خوشعاقبت بوده و درمان خوراكي خالي از ريسك نيست، فقط هنگامي بايد از اين روش درماني استفاده شود كه خطرات مربوطه در نظر گرفته شده باشد. در مورد استفاده خوراكي از تربينافين بايد دانست كه برخي از زيرگروههاي مالاسزيا فورفور به لحاظ كلينيكي پاسخگو نميباشند، هرچند كه در بررسيهاي آزمايشگاهي فعاليت فونژيستاتيكي آن نشان داده شده است. همچنين رژيم داروئي 1 قرص در ماه از داروهائي نظير كتوكونازول، فلوكونازول و ايتراكونازول بصورت پروفيلاكتيك براي جلوگيري از عود موفقيتآميز بودهاند.
تشخيص افتراقي:اريتراسما، پيتريازيس آلبا، پسوريازيس، درماتيت سبوروئيك، تينهآ كورپوريس، ويتيليگو
نامهاي مترادف: برص – لك و پيس

با سلام و احترام . سپاس از مطلب بسیار مفیدتان.